- +1
为何我们的牙齿问题这么多?


利维坦按:
你环视身边的人,也许就会发现,牙齿完全没有问题的似乎凤毛麟角,而有问题的又各有不同:智齿、龋齿、牙齿畸形……如果和其他脊椎动物相比,我们牙齿的问题就更显突出了。本文作者认为这一情况存在其实出现的很晚——工业时代的人身上才开始大量出现牙齿问题,而这可以归咎于饮食结构的改变。
也就是说,牙齿的进化跟不上大脑,因此才不适应现代饮食结构,导致出现很多问题。这使我想到另一个说法:人类经常腰酸背痛,是因为身体结构还不适应直立行走。不知真假。
歌单陆续更新中
在虾米、网易云、QQ音乐上搜索
【利维坦歌单】即可获取
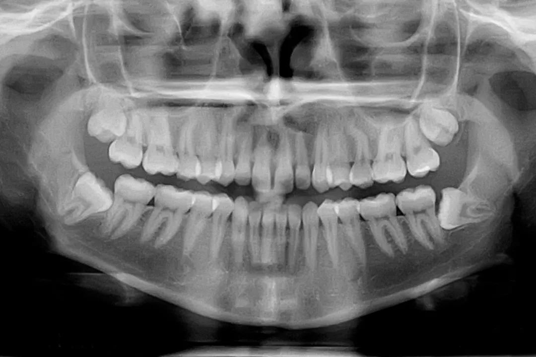
我坐在牙科诊室外等我的女儿。现场就像一条流水线:病人接连进去,要求拔掉我们通常称为智齿的第三颗磨牙,之后他们的头上缠着绷带出来,绑法适合冰袋包扎。每个人都拿着医生赠送的T恤、早就印好的家庭护理手册,以及抗生素和止痛药的处方。
如今,在美国,拔除智齿几乎已经成为了一种传统。但是,从我的角度来看,这种“传统”的历史并不悠久。我是一名牙齿人类学家和进化生物学家,并且花了30年的时间研究当代人的牙齿和化石人类以及无数其他物种的牙齿。
我们目前常常见到的齿科问题并不正常。不仅大多数其他脊椎动物没有与我们相同的牙齿问题——他们很少有弯曲的牙齿或蛀牙;就连我们的化石前辈也没有影响生活的智齿,更是几乎没有牙龈疾病。
确实,现代人的牙齿是一个矛盾体:它们是我们身体最坚硬的部分,却非常脆弱。尽管在化石中,古人类的牙齿可以存在数百万年,但我们的牙齿似乎无法在我们的嘴中待满一辈子。牙齿使我们的祖先在有机世界上占有统治地位,但是今天,我们的牙齿却需要特殊的日常护理。
这些矛盾是新近才出现的,换言之,只是工业时代的当代人口才会有这些问题。最好的解释是如今的饮食与我们长久以来进化的牙齿和颌骨并不匹配。古生物学家早就知道,我们的牙齿植根于进化史中,现在,临床研究人员和牙科医生也开始注意这一事实。

古代起源
进化生物学家常常感叹,人类的眼睛就是大自然的“设计奇迹”。但对我来说,在进化史中,眼睛的进化成果不及牙齿。我们的牙齿在不破坏自身的情况下就能磨碎食物,在一生中,我们的牙齿咀嚼数百万次,令人惊异的是,牙齿的构成成分和我们咀嚼的食物是一样的。
工程师能从人类的牙齿结构中学习很多东西。人类牙齿卓越的强度来自于精巧的结构,赋予其硬度和韧性以抵抗裂纹的出现和扩散。两种特性的结合是两种成分的结合:搪瓷硬质外盖几乎完全由磷酸钙制成,牙本质内层也具有使组织具有弹性的有机纤维。
不过,我们牙齿真正的魔力实际上在微观尺度上。想象一下,那些干的意大利面稍微一弯折就会脆断。但是,如果有成千上万个类似意大利面的线束呢?我们牙齿表面那些称为微晶的搪瓷结构就像千万个线束,每条线只有人头发的千分之一那么粗。它们捆在一起形成珐琅棒,称为棱柱。这些棱柱以每平方毫米数万个的密度仅仅结合在一起,形成牙釉质。它们彼此平行,从牙齿表面到内部的牙本质,在移动时蠕动,编织和扭曲,这种构造不仅优雅,更具有令人印象深刻的耐用性。
这种设计并非一朝一夕就出现。大自然在更新动物的牙齿上花了亿万年。来自古生物学、遗传学和发育生物学的最新见解使研究人员能够重建动物牙齿结构的演变进程。

最早的脊椎动物是在寒武纪出现超过五亿年前的无颚鱼类。这些最早的鱼类没有牙齿,但是它们的许多后代的鳞片状尾巴和头部由鳞片状磷酸钙构成。每块鳞片都有牙本质的外表面,有时被更坚硬、更矿化的盖子覆盖,内部有一个容纳血管和神经的牙髓腔。
一些鱼的嘴被盘上的小块状或倒钩状的边缘所包围,这些块状或倒钩可能有助于进食。大多数古生物学家认为,这些鳞片最终进化为牙齿。实际上,当今鲨鱼的鳞片与牙齿非常相似,因此我们将它们归为一类,称为齿状体(odontodes)。发育生物学家已经表明,在还是胚胎时,鲨鱼的鳞片和牙齿以相同的方式发育,并且最近的分子证据证实它们受同一套基因控制。
然后是真正的牙齿,即颚状的牙齿。这些牙齿大多是简单的尖头结构,可以用来捕获和固定猎物,以及刮、撬、抓和夹住各种生物。例如,一些棘鱼纲(Acanthodii,与祖鲨相关的已灭绝的多刺鱼类)在大约4.3亿年前的志留纪时期拥有牙齿。它们没有覆盖牙本质冠的超矿化帽,既没有脱落也没有被替换,但是它们仍然是牙齿。
有些物种的嘴唇和脸颊鳞片逐渐变成牙齿,这一进化过程持续发展。而即便是最早的牙齿,也让有牙齿的物种迅速脱颖而出,让它们在原始海洋中占据优势。这也让牙齿在海洋中迅速流行起来,因为有牙齿的物种很快就取得了统治地位。
当牙齿成为动物的标配后,随之而来的是许多创新和改良——包括形状,数量和分布的变化,如何更换牙齿以及如何固定在颌骨上。牙釉质最早出现在大约4.15亿年前,在志留纪和泥盆纪交替之际,出现在硬骨鱼类的肉鳍鱼(sarcopterygian)中。肉鳍鱼和现代四足动物——不论是两栖动物、爬行动物还是哺乳动物,都和这类鱼有直接的关联性。
肉鳍鱼以成对的前鳍和后鳍闻名,骨骼和肌肉类似于四肢。但当时其他鱼类的牙齿则缺乏牙釉质。珐琅最初仅限于鳞片,这表明珐琅像牙齿一样,起源于皮肤结构,然后演化进入口腔。
牙齿在哺乳动物的起源和早期进化中起着举足轻重的作用,因为它们在帮助哺乳动物保持体温的过程中扮演着重要角色。动物能够产生自己的体热有很多优势,例如使这些物种能够生活在气候凉爽以及温差较大的地方;允许这些物种维持较高的运动速度以维持更大的领地;并为觅食、躲避天敌和照料后代提供耐力。但是恒温也会带来代价:哺乳动物在静止时的能量消耗是类似大小的爬行动物的10倍。
为身体维持恒定温度需要更多更有效地吸收食物中的热量,压力就落在了牙齿上。其他脊椎动物只是用牙齿捕获和杀死猎物,但哺乳动物的牙齿每嚼一口都必须为身体提供更多的卡路里,为此,他们必须咀嚼。

哺乳动物的牙齿引导咀嚼运动,分散咀嚼力,并固定、保持和弄碎食物。为了使牙齿在咀嚼过程中正常工作,它们的相对表面必须在几分之一毫米的误差内对齐。对这种精确度的需求可以解释为什么——与鱼类和爬行动物不同,大多数哺乳动物不会在整个生命过程中反复不断地长出新牙齿来代替已经磨损或者折断的牙齿——因为哺乳动物的祖先已经丧失了这种能力。
棱柱组成的牙釉质是哺乳动物牙齿进化的一部分。大多数研究人员认为,这一进化可以将牙齿强度提高到哺乳动物咀嚼所需的水平。这种棱柱组成的牙釉质是一次性独立进化还是多次进化而来,在学界尚有争议。但是无论如何,在三叠纪时期,基本的哺乳动物牙齿结构(由棱柱组成的牙釉质,并成为牙本质冠)已经普遍出现了。包括我们人类在内的各种形式的哺乳动物臼齿,仅是对这一基本结构的微调而已。

口腔环境的微生物不平衡
我们牙齿的进化历史不仅解释了为什么它们如此坚固,也还解释了为什么在当代,它们存在不足。基本的逻辑是,牙齿结构的演化成果只在特定环境条件下,是有用的。
就我们人类的牙齿而言,牙齿的演化成果包括口腔中的化学物质和细菌以及牙齿本身的劳损和磨损。因此,口腔环境的迅速改变会让我们的牙齿措手不及。然而,我们的现代饮食习惯和我们的先辈大不相同,这种习惯是我们祖先从未有过的。我们的牙齿能力无法胜任这种变化,这也解释了龋齿(蛀牙)、智齿和其他困扰我们的牙齿正畸问题。

龋齿是世界上最常见、最普遍的慢性疾病。它折磨着九成美国人和全球数十亿人口。但是在过去的30年中,我研究了成千上万种化石和活体动物的牙齿,却几乎看不到任何蛀牙。
要了解为什么现代人的牙齿容易腐烂,我们需要考虑自然的口腔环境。健康的人类口腔中充满着各种生物,种类多达700多种,数量多达数十亿,其中大多数都是有益的,它们可以抗击疾病,帮助消化并调节各种身体机能。但一小部分细菌对牙齿有害,例如变形链球菌和乳杆菌,它们用代谢过程中产生的乳酸攻击牙釉质。但是这些细菌的浓度通常并不高,因此也不会给牙齿造成永久性损害。
它们的远亲——血红蛋白链球菌群控制着它们的数量,这些细菌产生碱(提高pH值的化学物质)以及抑制有害菌生长的抗菌蛋白。唾液的分泌则可以缓冲牙齿的损伤,防止酸对牙齿的侵蚀,并在充满钙和磷酸盐的环境中浸泡牙齿,使牙齿表面矿化。
脱盐和再矿化之间的平衡已经存在了数亿年,在整个哺乳动物的口腔微生物群落中,我们都发现了有益细菌和有害细菌。正如牛津大学的凯文·福斯特(Kevin Foster)和他的同事所说,我们不断发展以维持一个稳定的微生物群落,以“将口腔生态系统稳定住”。
当牙釉质出现断裂时,会导致龋齿。富含碳水化合物的饮食会让产酸菌群壮大,从而降低口腔酸碱度。变形链球菌和其他有害细菌在它们喜欢的酸性环境中成长,它们开始淹没有益细菌,进一步降低pH值。临床研究人员将这一系列事件称为营养不良,这意味着口腔环境的生态平衡遭到了破坏,其中少数有害菌种超过了通常在口腔微生物群落中占主导地位的有益菌种。
正因唾液不能足够快地使牙釉质再矿化以保持健康,因此牙齿磨损和修复之间的平衡难以实现。蔗糖(普通糖)尤其是罪魁祸首。有害细菌会利用它形成粘稠的斑块,将其粘结到牙齿上,并存储能量以在两餐之间为它们继续提供能量,这意味着牙齿遭受酸侵害的时间更长。
长期以来,生物考古学家一直认为,在新石器时代,龋齿与人们从狩猎、采集获取食物的方式到耕作的转变之间存在紧密联系。人类获取食物方式的转变经历了大约一万年,而产酸细菌会消耗可发酵的碳水化合物,这种碳水化合物在人类广泛种植的作物,例如小麦、大米和玉米中含量很高。
俄亥俄州立大学的克拉克·拉尔森(Clark Larsen)主持的牙科遗骸研究发现,随着史前佐治亚州沿岸玉米农业的采用和传播,龋齿的发病率增加了六倍以上。
但是,蛀牙与农业之间的联系并不是那么简单。早期农民的龋齿率随时间和空间的不同而变化,一些猎人和野外食物采集者的牙齿(例如那些富含蜂蜜的饮食)的牙齿也有很多蛀牙。
龋齿率的最大跃升来自工业革命,工业革命导致了蔗糖和高度加工食品的广泛供应。近年来,研究人员对古代人类牙齿中牙垢中埋藏的细菌进行了遗传研究,这些细菌记录了随之而来的微生物群落的转变。
工业革命之后的加工食品更柔软、更清洁,为龋齿带来了完美的风暴:人们不需要大量的咀嚼以切割食物中的有机膜,这样一来,食物虽然带给牙齿的磨损虽然变少,但也让有害菌群难以随着咀嚼而离开牙齿表面,与之而来的后果是,在牙齿的角落和缝隙成了孳生有害菌群的庇护所。

不幸的是,由于牙釉质的形成方式,我们无法像皮肤和骨骼那样使牙釉质再生。当牙釉质首先在肉鳍鱼中出现时,就有了这种限制。成釉细胞从牙釉质内部向表面向外迁移,在其后留下搪瓷痕迹(即棱柱)。我们不能制造更多的牙釉质,因为制成冠状物的细胞会脱落并丢失。
牙本质则不一样。产生它的成牙本质细胞与成釉细胞背对背开始并向内迁移,最终进入牙髓腔。它们在人的一生中都会继续产生牙本质,并且可以修复或替换磨损或受伤的组织。更严重的损伤则需要形成牙本质的新鲜细胞,使牙髓壁脱落并保护牙齿。
但是,随着蛀牙的增长,龋齿会淹没这些自然防御力,从而感染牙髓,并从长远来看会杀死牙齿。从进化的角度来看,面对几个世纪人们饮食的迅速变化,以及随之而来的口腔环境变化,牙齿还没有完全适应。

缺少压力
如今,牙齿畸形也是十分常见的疾病。每十个人中有九个人的牙齿至少会有稍微错位或咬合不正,并且有四分之三的人,他们的智齿没有足够的空间来适当地露出来。简单地说,我们的牙齿不适合我们的下巴。就像龋齿一样,造成这一现象的原因是我们的祖先的牙齿从未遇到过的口腔环境的不平衡。
澳大利亚著名的牙齿矫正医生雷蒙德·贝格(Raymond Begg)早在1920年代就意识到了这种不匹配。
他发现,生活在传统生活方式中的澳大利亚原住民比欧洲移民的牙科患者更容易掉牙。原住民还拥有完美的牙弓——他们的前牙是笔直的,而他们的智齿已经完全暴露并正常运转。贝格推断,自然界希望相邻牙齿之间的磨损能够减少口腔中的空间需求。他认为,考虑到这一点,颌骨长度是通过进化“预先设定好的”。
因此,我们的牙齿实际上是为原始环境中的坚硬食物进化的,而到了现代,柔软、清洁的饮食却破坏了牙齿尺寸和下颌长度之间的平衡。所以,在口腔外科,为了让我们的牙齿适应今天的口腔环境,都不得不依靠拔除牙齿。

按照这一逻辑,贝格提出了长期以来被奉为圭臬的牙齿正畸标准。贝格提出的方案包括:拔掉前磨牙、将金属丝连接到剩余牙齿上的托槽,在闭合间隙的同时将牙弓拉成一条线来创造更多空间。其他牙齿矫正医生在使用贝格之前先用钢丝将弯曲的牙齿拉直的方法,但他们不会拔出前磨牙,因此拉直的牙齿通常会恢复为弯曲的状态。
最初,许多牙医对通过拉伸健康牙齿以拉直牙弓的想法持反对态度,但贝格的技术行之有效,可以为患者终身提供帮助,并且牙齿也会不断发展以支持它。贝格甚至建议儿童咀嚼含有磨料碳化硅粉的口香糖,以促使其牙齿磨烂,从而完全避免进行正畸治疗。
贝格对于牙齿和颌骨之间不匹配的观点是正确的,但是他弄错了细节。据南伊利诺伊大学的人类学家罗伯·科鲁奇尼(Rob Corruccini)的观点,人类口腔关键的变化不是磨蚀性环境,而是压力环境,这意味着进食期间颌骨会受到机械应力。问题不是牙齿太大,而是下颌太小。

值得注意的是,查尔斯·达尔文(Charles Darwin)在1871年出版的《人的后裔》(The Descent of Man)中将压力与下颌的大小联系起来。但是科鲁奇尼是最早提供确切证据的人之一。他刚开始在伊利诺伊州南部教书,当时来自附近肯塔基州农村的一名学生告诉他,在他的社区中,长辈们吃难嚼的食物长大,而他们的子孙后代饮食变得精致。后续研究表明,尽管几乎没有专业的牙齿保健服务,但老年人的咬合力比年轻人的要好。
科鲁奇尼解释了饮食一致性方面的差异。因此,牙齿差异不是遗传而是环境。科鲁奇尼继续寻找其他案例,包括亚利桑那州的比马镇(Pima of Arizona),他对比了当地居在可以使用商店购买的食物前后牙齿的变化情况,以及印度昌迪加尔(Chandigarh)附近的农村居民和与城市居民牙齿的比较,当地农村居民的饮食习惯是糙米和坚韧的蔬菜面包以及土豆泥小扁豆。

科鲁奇尼认为,牙齿的大小已经过预先编程,可以适应在成长过程中承受机械应力水平的下巴,这与儿童期自然饮食相符。随后,当颌骨在发育过程中没有得到所需的刺激时,牙齿在前端变得拥挤而在后部受到冲击。他通过对猴子进行的实验工作证实了这一假设,即那些喂养较软饮食的猴子下颚较小且牙齿受到影响。
达尔文主义的牙医
进化的观点揭示了由于环境变化而导致的牙齿疾病。这个新的优势开始帮助研究人员和临床医生解决牙科疾病的根本原因。密封剂可保护我们的牙冠,氟化物可增强和再矿化牙釉质;但是,这些措施无助于改变引起衰变的口腔状况。抗菌漱口水可杀死引起蛀牙的细菌,但它们也可以杀死有益菌种。受微生物组疗法最新创新的启发,研究人员开始集中精力重塑牙菌斑群落。口服益生菌,靶向抗微生物药和微生物群的移植即将出现。
在考虑治疗正畸疾病时,我们还应牢记自然的口腔环境。牙医和正畸医生意识到,高度加工、软化的食物可以改变脸部和颚部的机械应力。咀嚼压力会刺激儿童的颌骨和脸中部正常生长。依靠这些食物会使人体的这些部位长期不发达。这种情况的影响远不止于牙齿过于紧凑:一些专家认为,牙齿过于紧凑所导致的呼吸道收缩,是睡眠呼吸暂停的主要原因——这意味着呼吸骤停和骤始。

没有人希望幼儿在进食时会被噎着,但是也许当断奶后,我们给孩子的食物除了豌豆泥可能还有更好的选择。在过去的几年中,已经出现了一个全新的行业,该行业专注于干预颌骨的生长以打开气道并按照自然原本的意图来适应牙齿。但是,也许像我们远古祖先那样,如果从孩子还小的时候就给他们喂食需要剧烈咀嚼的食物,我们就可以免除其中许多人对这种干预的需要。
文/Peter S. Ungar
译/Adamache
校对/Adamache、兔子的凌波微步
原文/www.scientificamerican.com/article/why-we-have-so-many-problems-with-our-teeth/
本文基于创作共同协议(BY-NC),由Adamache在利维坦发布
文章仅为作者观点,未必代表利维坦立场
往期文章:


原标题:《为何我们的牙齿问题这么多?》
本文为澎湃号作者或机构在澎湃新闻上传并发布,仅代表该作者或机构观点,不代表澎湃新闻的观点或立场,澎湃新闻仅提供信息发布平台。申请澎湃号请用电脑访问http://renzheng.thepaper.cn。





- 报料热线: 021-962866
- 报料邮箱: news@thepaper.cn
互联网新闻信息服务许可证:31120170006
增值电信业务经营许可证:沪B2-2017116
© 2014-2026 上海东方报业有限公司




