- +1
口腔数字化时代:AI牙医的防御基建与攻坚
上火除了长口腔溃疡,也易导致牙疼,如果至今没经历过牙疼的话,那可真的是太幸运了。牙痛的感受可一点都不好玩,严重的疼起来甚至有种被钻脑袋的感觉,在牙痛上,人类的悲欢是相通的。
去医院看牙也需要一番心理建设,对于多数人来说,去牙科有些抵触甚至是畏惧的感受。看牙的体验似乎没有舒服的,之前有亲戚去拔智齿,因为嘴巴小,操作的空间不大,嘴巴生生裂了,拔智齿的过程就更不用提了。
牙科医疗什么时候才能提起来不让人害怕头疼呢?AI技术能不能优化牙科的诊断治疗呢?
供需失衡的山岳
去医院的话,总是人满为患。我们的医疗资源是出了名的紧张,什么时候去,总是熙熙攘攘,医疗资源供需严重失衡。在口腔领域,这一现象更是被放大。
据2019年8月22日CBNData联合阿里健康、云南白药发布《2019饮食习惯与口腔健康白皮书》数据,2018年我国看牙人次达3亿。但我国每个口腔医师匹配的医患数约达到2542.37人。
据机构统计,2020年我国口腔科执业(助理)医师总数为27.8万人,其中口腔科执业医师人数占执业(助理)医师总数22.1万人,占比为89.0%。根据数据测算,2021年,我国口腔科执业(助理)医师总数约为30.7万人。
巨大增量需求的背后,也暗含着日趋激烈的供需矛盾和行业痛点:口腔行业整体具有发病率高、就诊率低、牙医稀缺配比率低、医疗水平参差不齐等问题,治疗周期长,患者体验亟待提升,但口腔医疗资源严重供应不足。
为了缓解供需的失衡,医院加大力度在数字化、远程医疗方面开始持续投入。我们知道AI技术在医疗领域的应用,最常见的是医疗影像、虚拟助手的应用,医疗大数据、健康管理、药物的研发、制备等AI也可赋能其中。在口腔医疗这个细分领域中,AI可应用于口腔疾病的预防、筛查、辅助诊断、治疗方案设计、患者随访等全过程。

口腔医疗领域盛产大量的牙科X光检查图像数据,容易匿名化,在开发牙科的AI放射训练系统时非常有价值,方便AI技术的介入。并且对于牙医来说,没有像其他内科、专科医生一样可以配备训练有素的放射科技师,口腔AI的影像分析可以作为媲美人类的准确率较高的助手来使用,成为牙医的第二双火眼金睛。
在护理方面,AI也可以帮助牙医提升护理的标准和治疗的效果,不仅能够提升效率,也可以为患者带来更好的体验。口腔领域的AI数字化赋能成为舒适诊疗的新窗口。在口腔诊治护理的过程中,AI几乎可全程参与。
AI之铲:串联牙域全周期诊疗
口腔医疗主要包括口腔外科(拔牙、种植牙等)、口腔内科(龀病、牙周疾病等)、口腔修复(铸造金属全冠、烤瓷全冠等)、口腔正畸(各种牙列不齐的矫正等)。AI可以有所作为的空间,也在这些范围内。概括来说,AI的效用是作为辅助决策的关键环节。
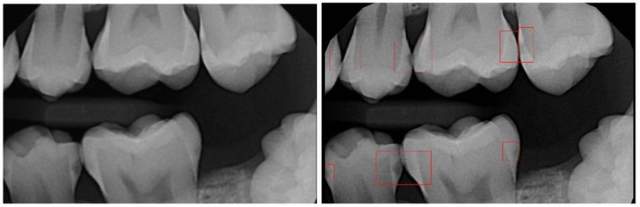
在口腔医疗领域,AI应用最为广泛的也是跟阅片检测相关。拿患病率最高的龋齿来说,传统的诊断依靠X 射线牙片及直接的口内检查,以此发现咬合龋。但对于牙齿根部的龋齿、临间龋和根面龋等潜在龋齿,难以发现,容易漏诊。辅助龋齿检测的AI模型可以代替医生对牙片进行精准的龋齿侦查,这种专项的AI模型对龋齿斑的敏感度高于人类有限的视力。
当然,除了局部专项的阅片外,在整体口腔问题识别上面,AI也有所作为。

牙医上传牙齿全景片后,AI系统可以识别出全景片中的关键结构和患者可能存在的几十项口腔问题,并自动为患者生成一份精细的个性化口腔健康报告。与此同时,对于牙齿疾病的未来发展,也可以通过数字化建模推演未来疾病的发展趋势,患者可以直观和深入了解自身的口腔问题,提升就诊率和流失率。
在口腔的手术治疗方面,无论是种植还是外科治疗,都可以进行数字化的手术设计,以及术前数字化三维扫描、影像学数据采集与诊断分析。通过术前三维重建获得全面的手术部位颌骨和软组织数据信息,辅助设计制定治疗方案,设计制作手术导板或术中借助实时导航,不仅提高牙科手术的准确性,也能减少手术创伤,缩短手术时间。
在牙齿美容方面,正畸医生通过扫描仪,在患者口中快速精准地捕捉牙齿的交互式 3D 图像,根据生成的牙齿移动模拟 3D 动画,正畸AI系统算法可以精确计算出每一次牙齿移动需要施加的力,并且可以确保根据医生输入的数据,确定最合适科学的正畸方案,按正确顺序依次调整牙齿。

前期的扫描设备与AI云端正畸方案的设计,再到后期的智能生产,正畸的治疗全周期都可被完全覆盖。
对于不同牙科领域的诊治来说,有不同的AI系统算法支持,这些算法基于数百万用户数据和口腔点云的扫描积累,除了AI仿真、AI阅片、AI排牙,在矫治器后期的制作中,也可以导入AI模型进行设计制造。
在口腔领域中,AI全方位的覆盖,串联起非标品牙域全周期诊疗,让就诊的效率与体验都得到极大的提升。在实际的临床使用中,口腔医院和连锁的牙科诊所都开始了AI先进系统的引用。
全民口腔AI卫士
与传统医疗赛道不同,口腔领域兼具医疗和消费双重属性,同时其细分市场又相对复杂,远超过其他行业,行业具有天然壁垒。这也使得参与的玩家较少,不像AI医疗在其他领域竞争激烈。在AI牙医的赛道上,主要参与的玩家以创企为主,包括微云人工智能、DeepCare羽医甘蓝、频态科技等。
这些创企瞄准牙域的金矿,用AI之铲,挖掘富矿,主要的客户包括传统的牙科机构、崛起的牙科新秀与公立的医院。这些实力雄厚的企业和医院每年都会投入大量的资金和人力进行研发,在口腔领域的科技赋能方面有着强劲的增长需求。
目前国内有条件升级的诊所和医院都接入了AI牙医。据创企DeepCare公开资料,其产品“AI牙医”已在多个国家地区的2000多家口腔医疗机构落地应用。微云人工智能的AI隐形矫正器也覆盖20000家诊所。
不过总体来说,进入AI牙科行业掀风起浪的玩家太少,相较于欧美国家牙科诊疗体系的成熟度,我们还是比较落后。咱们的口腔医疗领域是双轨制,既有公立又有民营,并且因为牙科是完全非标化的品类,口腔领域包含健康和医美两个大的维度,产业细分的种类多,门槛高且复杂。在数字化牙科的行业结构中,单点的创新很难支撑整个产业链的闭环。这也是目前行业相对来说发展较为缓慢的主要因素之一。

数字化的AI牙医竞争是多维的,不仅仅是核心技术壁垒层面的较量,对于质量、成本、效率、服务等要求不低。规模化(交付能力)的前提是多维度的集体扬升,单点的技术维度难以突围。
拿口腔领域正畸的高分子材料来说,需要在弹性、抗撕裂性、抗染色性等层面多维覆盖,保障矫治效率的基础上让患者佩戴变得更舒适。材料的升级需要保持在行业前列。否则再好的AI设备与模型,一个凑合的矫正器就能拉跨整个消费体验。
AI口腔领域不仅对专业医疗技术的积累有要求,对新型AI技术、设备、环材以及渠道等也要求不低。产业的发展与企业的护城河建立需要捋顺这些关键要素,规模化的交付才能实现。
长远来看,AI牙医的商业场景还是具有大有所为的发展空间,AI牙医既可作为筛查诊治工具在口腔医疗机构中被广泛使用,也可作为审核信息和进行风险提示的核保核赔工具,商业转化的通道是畅通的。
在人口老龄化和口腔健康、医美意识提升的大背景下,口腔服务产业的升级是大势所趋,精准诊疗技术升阶、服务模式细化、管理方式革新等成为智能口腔时代的刚需。而AI的价值在于其润物细无声的普适性和福祉。
当非标化的品类口腔医疗在AI技术赋能下,具备规模化产业化的能力,将会重塑口腔领域。
不仅是平衡医疗资源,也会将精准医疗与舒适体验带给患者,让医生回归医疗本身,更重要的是可以降低成本,这也使得高昂的牙齿护理走近普罗大众,全民的口腔健康得以保障。
由科普中国重新排版编辑
内容来自:脑极体
本文为澎湃号作者或机构在澎湃新闻上传并发布,仅代表该作者或机构观点,不代表澎湃新闻的观点或立场,澎湃新闻仅提供信息发布平台。申请澎湃号请用电脑访问http://renzheng.thepaper.cn。





- 报料热线: 021-962866
- 报料邮箱: news@thepaper.cn
互联网新闻信息服务许可证:31120170006
增值电信业务经营许可证:沪B2-2017116
© 2014-2026 上海东方报业有限公司




